Просмотры:0 Автор:Pедактор сайта Время публикации: 2025-11-19 Происхождение:Работает
Вы используете имплантаты для переломов, чтобы удерживать сломанные кости на месте. Эти ортопедические имплантаты помогают костям зажить после перелома. Основными типами являются имплантаты с небольшими фрагментами, запирающие пластины, канюлированные спонгиозные винты, протезы тазобедренного сустава, имплантаты с большими фрагментами и интрамедуллярные стержни. Новые конструкции, подобные тем, что используются в системе травмирования XC Medico, дают безопасные и хорошие результаты. В современных имплантатах используются прочные материалы и тщательная конструкция, которые хорошо прилегают к костям и помогают быстрее выздороветь.
Имплантаты для лечения переломов удерживают сломанные кости в нужном месте. Они помогают костям заживать правильно и быстрее. Существуют различные имплантаты, такие как пластины, винты, стержни и внешние фиксаторы. Врач выбирает имплантат в зависимости от того, где и как сломалась кость. Новые имплантаты помогают костям заживать и могут проверить, как идет заживление. Переезд вскоре после операции может помочь вам быстрее поправиться. Это позволит вам быстрее вернуться к нормальной жизни. Очень важно поговорить со своим врачом о том, какой имплантат лучше. Это поможет вам хорошо выздороветь.
Когда кость ломается, врачи используют различные имплантаты для ее заживления. Каждый тип имплантата лучше всего подходит для определенных переломов. Эксперты сортируют эти имплантаты по группам. Группы вы можете увидеть в таблице ниже.
Тип классификации | Описание | Процент |
|---|---|---|
PS1 | Проксимальнее/дистальнее имплантата | 26,0% |
ПС2 | Кость между самым проксимальным/дистальным винтом и тем же концом пластины | 57,5% |
ПС3 | Кость между наиболее проксимальным и дистальным винтами | 16,4% |
IM1 | Дистально от устройства | 43,3% |
ИМ2 | Кость между самым проксимальным/дистальным стопорным болтом и тем же концом устройства | 46,7% |
IM3 | Кость между стопорными болтами | 10,0% |
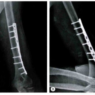
Пластины и винты часто используются для фиксации сломанных костей. Пластины представляют собой тонкие металлические полоски. Врачи прикрепляют их к кости с помощью винтов. Эти имплантаты удерживают кость вместе, поэтому она срастается ровно. Запирающие пластины обеспечивают дополнительную поддержку при сильных переломах или слабых костях. Patella Claw и специальные пластины для лодыжки и пятки помогают при тяжелых травмах.
Фиксирующие пластины помогают костям лучше заживать и обеспечивают надежную поддержку. Они останавливают кость от движения и помогают быстрее заживить.
Фиксирующие пластины хороши при переломах со смещением и сложных переломах.
Наборы инструментов для канюлированных винтов помогают врачам вставлять винты в нужное место.
Для некоторых переломов врачи используют стержни и гвозди внутри кости. Эти металлические стержни вставляются в середину длинных костей, таких как бедро или голень. Они сохраняют кость устойчивой, пока она заживает. Интрамедуллярные гвозди лучше всего подходят при нестабильных или трудно поддающихся исправлению переломах.
Стержни и гвозди помогают после исправления формы кости или когда кость трудно выровнять.
Некоторые палочки могут давать лекарство для костей, пораженных инфекцией.
Врачи могут извлечь стержень, если есть инфекция или кость зажила.
Проволока и штифты представляют собой тонкие металлические детали, которые скрепляют небольшие части кости. Врачи используют их для простых переломов или небольших кусочков костей. Эти имплантаты часто используются у детей или там, где пластины и винты слишком велики.
Проволока и штифты хорошо удерживают кости неподвижно, но они могут смещаться или ослабляться.
Около 16% людей могут иметь такие проблемы, как расшатывание булавок или инфекция. Большинство проблем легко исправить, но некоторые требуют большего внимания.
Внешние фиксаторы — это каркасы снаружи вашего тела, которые удерживают кости на месте. Врачи используют их при открытых переломах, ранах или повреждениях кожи. Эти имплантаты удерживают кость устойчивой, ничего не помещая внутрь.
Клинический сценарий | Описание |
|---|---|
Управление мягкими тканями | Хорошо подходит для травм с повреждениями кожи или открытыми ранами. |
Остеомиелит | Помогает лечить инфекции костей, удерживая имплантаты вне тела. |
Детские переломы | Полезно, когда детские кости еще растут. |
Удлинение конечностей/коррекция деформации | Позволяет врачам корректировать положение кости с течением времени. |
Врачи используют внешние фиксаторы при сильных переломах или когда кость требует особого ухода во время заживления.
Совет: врачи выбирают лучший имплантат с учетом вашей травмы, кости и потребностей в заживлении. Система травмы XC Medico предлагает множество вариантов, которые помогут вам исцелиться.

Когда вы ломаете кость, ваш врач использует ортопедические имплантаты, чтобы удерживать кусочки в нужном месте. Эти устройства действуют как прочные опоры, удерживая кость устойчивой во время заживления. Хирурги изучают, как движется кость, и силы, действующие вокруг перелома. Они используют эти знания, чтобы выбрать лучший способ исправить вашу травму.
Хирурги оценивают тип и расположение перелома.
Они решают, сколько движений потребуется вашей кости для заживления.
Они используют специальные инструменты и программное обеспечение для планирования наилучшей поддержки.
Биомеханическая стабильность очень важна. Если ваша кость будет двигаться слишком сильно, она не заживет должным образом. Если он слишком жесткий, заживление также может замедлиться. Современные имплантаты для переломов, такие как имплантаты системы XC Medico Trauma System, имеют продуманную конструкцию, позволяющую сбалансировать прочность и гибкость.
Примечание. Правильный уровень стабильности помогает кости быстрее заживать и снижает риск возникновения проблем после операции.
Ортопедические имплантаты делают больше, чем просто скрепляют кости. Они помогают вашему телу восстановиться. Поверхность каждого имплантата создана так, чтобы хорошо сочетаться с вашей костью. Некоторые имплантаты имеют специальное покрытие или форму, которые помогают костным клеткам расти и прикрепляться. Иногда врачи используют факторы роста на имплантате, чтобы ускорить заживление. Новые материалы, такие как некоторые полимеры, могут растворяться даже после заживления кости.
Имплантаты с хорошей биосовместимостью помогают предотвратить расшатывание.
Некоторые поверхности привлекают костные клетки и помогают им расти.
Факторы роста, такие как BMP-2 и VEGF, могут ускорить заживление.
Ваш врач выбирает подходящий имплантат с учетом вашего возраста, типа перелома кости и места перелома. Форма и размер имплантата должны соответствовать вашей кости. Для некоторых переломов необходимы пластины и винты, а для других — стержни или штифты. Цель всегда состоит в том, чтобы подобрать имплантат в соответствии с вашими потребностями и требованиями вашей операции.
Врачи смотрят на ваш возраст и здоровье костей.
Они проверяют размер и форму вашей кости.
Они выбирают имплантат, который обеспечивает наилучшую поддержку вашего перелома.
Такие материалы, как титан, популярны, потому что они прочные, легкие и безопасные для вашего тела. Титан устойчив к ржавчине и долго работает внутри вас. Тщательная разработка гарантирует, что каждый имплантат идеально прилегает и поддерживает кость во время и после операции.
Если перелом невозможно заживить с помощью гипсовой повязки, вам может потребоваться открытая репозиция и внутренняя фиксация. В ходе этой операции врач использует специальные инструменты для фиксации кости. Основные шаги:
Вы ляжете на операционный стол и получите анестезию.
Хирург разрезает кожу на сломанной кости.
Мышцы отодвигаются в сторону, чтобы достичь кости.
Врач выравнивает кусочки кости.
Титановые стержни, пластины или винты скрепляют кость.
Хирург закрывает разрез швами.
Гипс или шина обеспечивают устойчивость кости.
Эта операция помогает кости зажить в нужном месте. Врачи используют его при переломах, которые трудно исправить или нестабильны.
Около 75% людей, перенесших эту операцию по поводу перелома бедренной кости, практически не имеют долгосрочных проблем.
После операции вы начнете выздоравливать. Ваш врач расскажет вам, как ухаживать за костью. Раннее переезд поможет вам быстрее поправиться. Если вы начнете двигаться через две недели после операции, вы сможете вернуться на работу примерно через 34 дня. Если вы подождете четыре недели, это может занять до 79 дней. Раннее движение также помогает вашему запястью лучше сгибаться и выпрямляться.
Возможно, вам понадобится физиотерапия, чтобы стать сильнее и лучше двигаться. Слушайтесь своего врача, чтобы избежать проблем и помочь кости зажить.
Шаг восстановления | Что вы делаете |
|---|---|
Отдых | Держите кость устойчивой |
Раннее движение | Начните щадящие упражнения |
Физиотерапия | Работа с терапевтом |
Последующие визиты | Обратитесь к врачу для осмотра |
Вы можете беспокоиться о том, как эта операция повлияет на вас. Некоторые люди беспокоятся о том, что плохо двигаются, чувствуют себя несчастными или испытывают трудности при ходьбе. Некоторые опасаются кровотечения или того, что имплант может сломаться. Другие беспокоятся о плохих материалах или о неправильной установке имплантата. Ваш врач использует хорошие устройства и осторожные меры, чтобы снизить эти риски.
Совет: поговорите со своим врачом о переломе и лечении. Это поможет вам узнать, чего ожидать от операции и заживления.
Имплантаты для лечения переломов обеспечивают надежную поддержку при переломе кости. Эти устройства удерживают кость в нужном месте, что помогает ускорить заживление. Вы сможете быстрее переехать и быстрее вернуться к повседневной жизни. Когда вы используете ортопедические имплантаты, вы часто чувствуете меньше боли, потому что ваша кость остается устойчивой. Врачи также могут использовать умные имплантаты, чтобы отслеживать, как заживает ваша кость. Это поможет им сделать лучший выбор в отношении вашего ухода.
Вот таблица, в которой сравниваются имплантаты при переломе с нехирургическим лечением:
Выгода | Имплантаты при переломе | Нехирургический уход |
|---|---|---|
Поддержка костей | Сильный | Умеренный |
Время восстановления | короче | дольше |
Контроль боли | Лучше | Варьируется |
Мониторинг исцеления | Возможны интеллектуальные датчики | Менее точный |
Вы также можете быстрее зажить с некоторыми имплантатами. Например, некоторые аппараты внешней фиксации используют плавные движения, чтобы помочь кости вырасти. Это может сократить время заживления на 20% и более. Когда ваша кость заживает хорошо, вы чувствуете меньше боли и можете раньше пользоваться рукой или ногой.
Большинство людей хорошо справляются с переломными имплантатами, но могут возникнуть некоторые проблемы. Вы можете почувствовать боль, если кость не заживает должным образом или если имплантат смещается. Иногда возле имплантата может возникнуть инфекция или отек. Другие риски включают в себя:
Излияние крови
Дислокация
Венозные проблемы
Новый перелом кости
Проблемы с нервами
Износ или позднее заражение
Врачи наблюдают за этими проблемами и помогают вам справиться с болью. Уровень заражения может быть выше при некоторых открытых переломах костей, поэтому ваш врач часто осматривает вашу рану. Если у вас диабет или вы курите, риск возникновения проблем может возрасти. Вы всегда должны сообщать своему врачу, если вы чувствуете боль, онемение или отек.
Большинство имплантатов для переломов остаются в организме в течение длительного времени. Иногда вам может потребоваться удалить имплантат, если вы почувствуете боль, скованность или если имплантат выпирает. Боль — основная причина, по которой люди просят об удалении. Холодная погода также может усугубить боль у некоторых людей. Вот распространенные причины удаления:
Боль (наиболее распространенная)
Дискомфорт в холодную погоду
Имплантат торчит
Скованность или онемение
Личный выбор
Многие люди без проблем сохраняют свои имплантаты. Если вам необходимо удаление, ваш врач объяснит процесс. Большинство людей хорошо заживают после удаления и чувствуют меньше боли. Хороший уход и регулярные осмотры помогут вашим костям оставаться здоровыми долгие годы.
Вам нужны имплантаты для переломов, чтобы помочь костям хорошо зажить. Новые имплантаты, например, из системы травмы XC Medico, работают хорошо и не вызывают особых проблем. Врачи используют эти устройства, потому что они безопасны и работают с вашим телом. Умный дизайн помогает костям лучше заживать.
Тип доказательства | Выводы | Осложнения |
|---|---|---|
Систематический обзор | Хорошие общие результаты | Немного сложностей |
Вы всегда должны обращаться к врачу за помощью при переломе. Если вам нужны хорошие имплантаты и уход, выберите XC Medico . Они — надежный партнер в вашем исцелении.
В переломных имплантатах часто можно увидеть титан или нержавеющую сталь. Эти материалы прочные и безопасные для вашего тела. Титан устойчив к ржавчине и хорошо работает внутри вас в течение многих лет.
Большинство имплантатов остаются в организме на всю жизнь. Ваш врач может удалить их, если вы почувствуете боль или дискомфорт. В большинстве случаев после удаления вы хорошо заживаете.
Обычно вы начинаете плавные движения вскоре после операции. Раннее движение поможет вам быстрее восстановиться и сохранить мышцы сильными. Ваш врач порекомендует вам безопасные упражнения.
Для детей врачи используют специальные имплантаты. Эти имплантаты подходят к растущим костям и помогают детям безопасно заживать. Ваш врач выбирает лучший тип для нужд вашего ребенка.
Система травмы XC Medico предлагает множество вариантов имплантатов. Вы получаете продукты, предназначенные для сильной поддержки и быстрого заживления. Врачи доверяют этим имплантатам за качество и безопасность.
Лучшие поставщики ортопедических товаров (2026 г.): рейтинг дистрибьюторов на первом месте
Как найти экономически эффективных поставщиков ортопедических товаров без ущерба для качества
12 лучших производителей ортопедической продукции для покупателей (2026 г.)
Технический документ по закупкам ортопедических OEM-ODM для дистрибьюторов в Латинской Америке
10 критериев лучшего OEM-поставщика ортопедических изделий для больниц (2026 г.)
Межтеловые спондилодезические клетки: будущее лечения позвоночника
Что отличает фиксирующие и нефиксирующиеся пластины в ортопедической хирургии
Контакт