Просмотры:0 Автор:Pедактор сайта Время публикации: 2025-03-14 Происхождение:Работает
Интрамедуллярная фиксация гвоздями остается методом выбора при нестабильных переломах ножки большеберцовой кости со смещением у взрослых. Целью хирургического лечения является восстановление длины, выравнивания и ротации большеберцовой кости и достижение заживления перелома. Преимуществами интрамедуллярного стержня являются минимальная хирургическая травматичность и адекватное сохранение кровоснабжения перелома. Кроме того, интрамедуллярный стержень большеберцовой кости обеспечивает соответствующую биомеханическую стабильность перелома и действует как устройство распределения нагрузки, позволяющее провести раннюю послеоперационную мобилизацию. Достижения в дизайне интрамедуллярных стержней и методах редукции расширили показания для интрамедуллярной фиксации стержней, включив в них переломы проксимального отдела большеберцовой кости и нижней средней трети.
На сегодняшний день закрытая редукционная интрамедуллярная стержневая фиксация переломов большеберцовой кости стала обычной процедурой для травматологов-ортопедов. Несмотря на популярность интрамедуллярной фиксации гвоздями при переломах ножки большеберцовой кости со смещением, она остается сложной задачей и имеет множество потенциальных осложнений. Хирургические методы продолжают развиваться. Цель данной статьи — описать современные концепции интрамедуллярной фиксации стержнями при переломах ножки большеберцовой кости и обобщить последние достижения в этой области.
У более молодых пациентов переломы ножки большеберцовой кости часто являются результатом высокоэнергетических травм, и пациентов необходимо обследовать на предмет сопутствующей травмы в соответствии с рекомендациями Advanced Trauma Life Support (ATLS). Оцените повреждения окружающей кожи и мягких тканей, такие как волдыри при переломах, ссадины кожи, ожоги, экхимозы или возвышения кожи; уточнить, открытый ли перелом, и если да, то провести лечение столбняком и антибиотиками; и провести тщательное нейроваскулярное обследование и задокументировать вышеизложенное. Оцените возникновение синдрома остеофасциального компартмента и проведите серию клинических обследований у этих пациентов.
Недавние исследования показали, что частота остеофасциального компартмент-синдрома после переломов бугристости большеберцовой кости может достигать 11,5%. В частности, у более молодых групп пациентов чаще развивается остеофасциальный компартмент-синдром. Диагностика остеофасциального синдрома должна основываться на клинических данных, включая сильную боль, нейроваскулярные изменения, отек миофасциального отдела и усиление боли при пассивном разгибании пальцев ног. Таким образом, синдром остеофасциального компартмента остается клиническим диагнозом, и необходимо тщательное документирование клинического обследования. Давление внутри миофасциального отдела можно измерить с помощью иглы для измерения давления (рис. 1) в качестве дополнительного метода обследования к специализированному обследованию.

Рисунок 1. Измерение давления в межкостной перегородке с помощью иглы для измерения давления
Для получения надежных данных необходимо измерить внутрифасциальное давление в четырех миофасциальных отделах и в разных местах каждого миофасциального отдела. Исследования в литературе показывают, что разница давления менее 30 мм рт.ст. (диастолическое давление минус давление в фасциальном отделе) указывает на синдром фасциального отдела. Диастолическое давление обычно снижается во время операции, и при расчете дифференциального давления следует учитывать предоперационное диастолическое давление.
Недавние исследования показали, что мониторинг внутрифасциального давления является потенциально полезным инструментом для диагностики острого фасциального компартмент-синдрома с чувствительностью 94 % и специфичностью 98 %. Однако, учитывая потенциально разрушительные последствия компартмент-синдрома, диагноз компартмент-синдрома должен основываться на клинических данных, а измерение давления в межкостном пространстве следует использовать в особых обстоятельствах, например, когда пациент травмирован или когда клинические данные неясны.
Визуализирующая оценка должна включать стандартные ортопантомограммы и боковые проекции поврежденной большеберцовой кости, а также рентгенограммы прилегающих коленных и голеностопных суставов, которые дополнительно оцениваются с помощью компьютерной томографии (КТ). Аналогично, может потребоваться компьютерная томография лодыжки, чтобы визуализировать линии переломов, идущие до плато большеберцовой кости, и связанные с ними несмежные повреждения лодыжки.
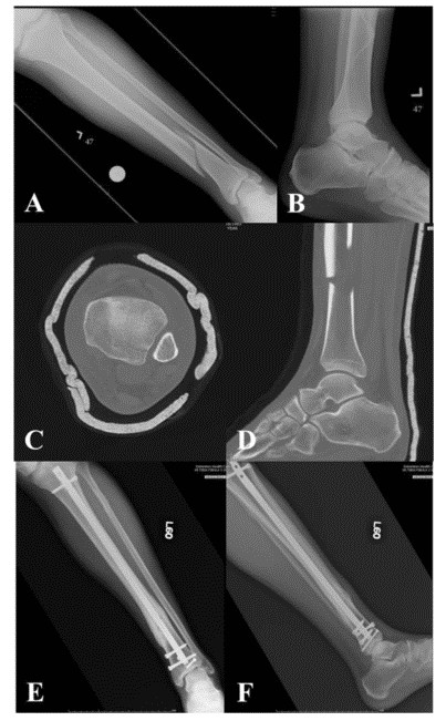
Сообщается о высоком проценте переломов нижней средней трети большеберцовой кости с переломами лодыжки. При использовании традиционной компьютерной томографии 43 % переломов средней и нижней трети большеберцовой кости сопровождались переломами голеностопного сустава, большинство из которых требовало хирургического лечения. Наиболее частым типом перелома был спиральный перелом нижней средней трети дистального отдела большеберцовой кости, связанный с переломом задней лодыжки с небольшим или несмещенным смещением (рис. 2). Из-за небольшого смещения связанного перелома лодыжки только 45 % повреждений можно обнаружить на обзорных рентгенограммах лодыжки. Таким образом, при наличии перелома нижней и средней части большеберцовой кости следует уделять особое внимание рутинному компьютерному сканированию голеностопного сустава (рис. 3).

Рисунок 2. AF Спиральный перелом нижней средней трети правой большеберцовой кости (A, B). На предоперационных рентгенограммах лодыжки все в норме (C). Интраоперационная рентгеноскопия на С-дуге показывает перелом задней части лодыжки без смещения (D). Послеоперационные рентгенограммы после хирургической фиксации (EF) показывают плавное заживление переломов большеберцовой кости и лодыжки.

Рисунок 3. Спиральный перелом AF средней и нижней трети левой большеберцовой кости (AB) на предоперационных рентгенограммах; (CD) предоперационная КТ, показывающая перелом задней лодыжки без смещения; (EF) демонстрирует плавное заживление перелома большеберцовой кости и лодыжки.
Установление точной точки входа играет решающую роль, и многие исследования в литературе предоставили важную информацию об анатомическом расположении идеальной точки входа для интрамедуллярного скрепления переломов большеберцовой кости. Эти исследования показали, что идеальная точка фиксации расположена на переднем крае плато большеберцовой кости и медиальнее латеральной шпоры большеберцовой кости. Сообщалось также о зоне безопасности шириной 22,9 мм ± 8,9 мм, не вызывающей повреждения соседних структур сустава. Традиционно отправной точкой для интрамедуллярной фиксации переломов ножки большеберцовой кости является инфрапателлярный доступ, либо путем расщепления сухожилия надколенника (транспателлярный подход), либо путем удаления части стопора сухожилия надколенника (парасухожильной доступ).
Полувыдвижной интрамедуллярный стержень привлек значительное внимание в недавней ортопедической литературе, и Торнетта и Коллинз предлагают использовать медиальный парапателлярный доступ для внутренней фиксации гвоздя в полувытянутом положении, чтобы избежать выступания вершины интрамедуллярного стержня в переднюю часть коркового слоя большеберцовой кости.3 Также рекомендуется использование медиального парапателлярного доступа для интрамедуллярного фиксации гвоздя в полувытянутом положении. Рекомендуется использовать супрапателлярный доступ для интрамедуллярного стержня большеберцовой кости и введения интрамедуллярного стержня через надколенник-бедренный сустав в полувытянутом положении.
Процедура выполняется в колене, согнутом примерно на 15-20 градусов, и делается продольный разрез длиной примерно 3 сантиметра примерно на ширину одного-двух пальцев над надколенником. Сухожилие четырехглавой мышцы мышцы разрезают продольно и тупым способом рассекают надколенник-бедренный сустав. Тупое гнездо вводится через надколенник-бедренный сустав, чтобы создать точку входа в месте соединения проксимального отдела передней коры большеберцовой кости и суставной поверхности (рис. 4).

Рисунок 4. ab. Интраоперационные фотографии: (а) расщепление сухожилия четырехглавой мышцы бедра и введение троакара через надколенниково-бедренный сустав к точке входа большеберцовой кости; (б) интраоперационная боковая проекция точки входа
Сверло диаметром 3,2 мм используется для определения начальной точки иглы под руководством С-дуги. Для точной настройки точек входа и выхода предусмотрена перфорированная розетка. Остальные хирургические процедуры, включая рассверливание и введение стержня большеберцовой кости, выполняются через лунку.
ПОТЕНЦИАЛЬНЫЕ ПРЕИМУЩЕСТВА: Положение полувыпрямленной ноги может помочь в репозиции перелома, особенно при переломах с типичной проксимальной третью большеберцовой кости и наклоном вперед. , Полувыпрямленное положение может устранить напряжение четырехглавой мышцы и помочь в репозиции перелома. Супрапателлярный подход в полувытянутом положении также может быть альтернативой традиционному инфрапателлярному доступу (рис. 5).

Рисунок 5. Интраоперационная фотография, на которой показано повреждение мягких тканей в инфрапателлярной области как показание к супрапателлярному доступу в полуразогнутом положении.
Исследования показали, что супрапателлярный доступ к интрамедуллярному штифту большеберцовой кости в полуразогнутом положении является безопасным и эффективным хирургическим методом. Будущие клинические испытания необходимы для дальнейшего изучения преимуществ и недостатков супрапателлярного подхода с использованием интрамедуллярных стержней и оценки долгосрочных результатов, связанных с этой техникой.
Установка интрамедуллярного стержня большеберцовой кости сама по себе не приводит к адекватному уменьшению перелома; Необходимо поддерживать надлежащую репозицию перелома на протяжении всего процесса рассверливания и установки интрамедуллярных стержней. Применение только ручного вытяжения само по себе не всегда может привести к анатомической репозиции перелома. В этой статье будут описаны различные методы закрытой, минимально инвазивной и открытой репозиции.
-Советы по технике закрытого сброса
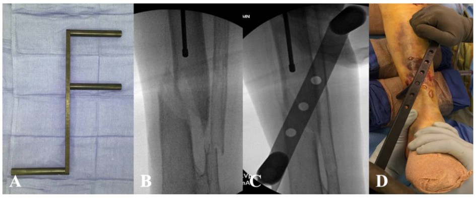
Маневры закрытой репозиции можно выполнить с помощью редукционного инструмента, такого как F-образный редукционный аппарат, F-образное рентгенографически передающееся редукционное устройство, которое корректирует углы инверсии/эксверсии, а также медиальное/латеральное перемещение (рис. 6).

Рис. 6. F-образный редуктор перелома, применяемый в хирургии.
Однако устройство может оказывать значительную нагрузку на мягкие ткани, поэтому следует избегать длительного использования этого устройства для перенастройки. Редукционные щипцы также можно накладывать чрескожно, как при спиральных и косых переломах. Эти инструменты можно применять безвредно для мягких тканей через небольшие разрезы (рис. 7).

Рисунок 7. Чрескожный зажим для вправления перелома большеберцовой кости.
Тип зажима и место хирургического разреза следует выбирать, исходя из стратегии минимизации долгосрочного повреждения мягких тканей в результате установки зажима (рис. 8).

Рис. 8. Остроконечные репозиционные щипцы для вправления перелома большеберцовой кости.
Ретракторы также являются одним из распространенных инструментов для восстановления длины большеберцовой кости. Их обычно размещают медиально и вдали от места, где необходимо установить интрамедуллярный стержень. Можно установить проксимальные вытяжные спицы, имитирующие положение проксимального блокирующего винта, что позволяет облегчить репозицию перелома после введения интрамедуллярного стержня.
В некоторых случаях закрытые и малоинвазивные методы репозиции все еще недостаточны для достижения анатомической репозиции. В таких случаях следует рассмотреть возможность применения методов послеоперационной редукции с тщательным лечением окружающих мягких тканей. Потенциальные недостатки методов открытой репозиции включают дополнительную хирургическую травму, которая может увеличить риск инфицирования области хирургического вмешательства. Кроме того, дополнительное нарушение кровоснабжения места перелома может увеличить риск послеоперационного несращения перелома.
-Технические навыки для разреза и изменения положения
Маневры послеоперационной репозиции позволяют не только размещать хирургические щипцы в правильном положении, но также накладывать небольшие или миниатюрные шины на место перелома для поддержания репозиции перелома во время интрамедуллярных процедур фиксации стержнями.
Пластины фиксируются к проксимальным и дистальным фрагментам перелома с помощью монокортикальных винтов. Шину сохраняют на протяжении всего процесса рассверливания и установки интрамедуллярного стержня в большеберцовую кость. После установки интрамедуллярного стержня пластину удаляли или оставляли на месте для повышения стабильности фиксированной конструкции (рис. 9). Оставив пластину на месте, одиночный кортикальный винт следует заменить двойным кортикальным винтом. Его следует рассмотреть для использования в отдельных случаях, когда ножка большеберцовой кости требует открытой операции для достижения приемлемого уменьшения перелома.

Рисунок 9. Открытый перелом большеберцовой кости с выраженным раздроблением и дефектом кости, одиночная кортикальная фиксация небольшой шиной на сломанном конце перелома после репозиции и снятия шины после интрамедуллярной фиксации стержнем.
Целью блокирующего стержня является сужение костномозговой полости в метафизарной области. Блокирующие стержни вводятся в пределах короткого суставного фрагмента и на вогнутой стороне деформации перед интрамедуллярной установкой стержня. Например, типичная деформация перелома проксимальной трети большеберцовой кости характеризуется вальгусом и углом наклона вперед. Для коррекции вальгусной деформации в латеральную часть проксимального фрагмента перелома (т. е. вогнутую сторону деформации) в переднезаднем направлении можно установить стопорный винт. Интрамедуллярный стержень проводят с медиальной стороны, тем самым предотвращая вальгусную деформацию. Аналогичным образом, угловую деформацию можно преодолеть, установив стопорный винт медиально-латерально от задней части проксимального блока (т. е. вогнутой стороны деформации) (рис. 10).

Рисунок 10. Вправление перелома большеберцовой кости с помощью блокирующих стержней.
- Медуллярное расширение
После завершения репозиции перелома выбирается медуллярное рассверливание, чтобы подготовить кость к интрамедуллярному введению стержня. Направитель с шаровым концом вводят в полость костного мозга большеберцовой кости и через место перелома, а рассверливающее сверло проводят по направителю с шаровым концом. Положение проводника со сферическим концом было подтверждено рентгеноскопией С-дуги: оно находилось на уровне голеностопного сустава, а проводник был хорошо центрирован как в передне-задней, так и в боковой проекциях (рис. 11).

На рис. 11 показано положение проводника в костномозговой полости при рентгеноскопии С-дуги во фронтальном и латеральном положениях.
Вопрос о расширенном и нерасширенном мозговом веществе остается спорным. Мы считаем, что большинство хирургов в Северной Америке предпочитают расширенную медуллярную интрамедуллярную фиксацию большеберцовой кости нерасширенной. Однако как расширенные, так и нерасширенные интрамедуллярные стержни могут использоваться в качестве приемлемых стандартных методов, и хорошие результаты могут быть получены с помощью обоих методов.
-Размещение стопорного винта
Использование блокирующих винтов при переломах ножки большеберцовой кости предназначено для предотвращения укорочения и мальротации, расширяя показания для интрамедуллярного фиксации большеберцовой кости на более проксимальные и дистальные переломы ножки большеберцовой кости, затрагивающие метафиз. При переломах, затрагивающих метафизарную область, блокирующие винты становятся более важными для поддержания осевого выравнивания.
Три проксимальных блокирующих винта значительно улучшают стабильность, а блокирующие винты со стабилизацией угла могут обеспечить большую стабильность, чем обычные блокирующие винты, что может позволить получить ту же структурную стабильность с меньшим количеством блокирующих винтов. Клинические данные о количестве и конфигурации блокирующих винтов, необходимых для внутренней фиксации большеберцовой кости, остаются ограниченными.
Установка проксимальных блокирующих винтов обычно выполняется с использованием эндоскопа, прикрепленного к интрамедуллярному штифту. Дистальные блокирующие винты вводятся вручную под рентгеноскопическим контролем. Для введения блокирующих винтов дистального отдела большеберцовой кости рекомендуется использовать электромагнитную компьютеризированную систему наведения (рис. 12). Этот метод позволяет без облучения вводить дистальные блокирующие винты и оказался выполнимым и точным методом.

Рис. 12.AB Стопорные винты, вид на С-дугу; CD Запирающие винты с помощью электромагнитной компьютерной блокировки
Установка проксимальных и дистальных блокирующих винтов является безопасной хирургической процедурой, и блокирующие винты должны быть введены точно и безвредно для мягких тканей.
Анатомические исследования показали, что все еще существует риск паралича малоберцового нерва при установке косых блокирующих винтов проксимально-медиально-латерально. Чтобы свести к минимуму этот риск, хирургам следует рассмотреть возможность сверления винтов под контролем С-дуги, при этом рентгеноскопический угол С-дуги перпендикулярен плоскости сверла. Проникновение сверла в кортикальный слой дистальной части большеберцовой кости может быть трудно обнаружить с помощью тактильной обратной связи, а непосредственная близость головки малоберцовой кости может скрыть тактильное впечатление и создать у хирурга впечатление, что он находится «в кости», хотя на самом деле головка малоберцовой кости уже пронзена. Длину винта следует определять не только с помощью градуированного сверла, но и с помощью соответствующего глубиномера. Любое измерение длины сверла или винта более 60 мм должно вызвать подозрение на задне-латеральное выпячивание, которое может подвергнуть общий малоберцовый нерв риску повреждения.
Дистальные передние и задние блокирующие винты устанавливают с учетом защиты переднелатерального сосудисто-нервного пучка, сухожилия передней большеберцовой мышцы и длинного разгибателя пальцев. Хотя чрескожное размещение винтов обычно безопасно, хирургам необходимо осознавать риски для окружающих мягких тканей. При большинстве переломов ножки большеберцовой кости два проксимальных и два дистальных блокирующих винта обеспечивают достаточную стабильность. При проксимальных и дистальных переломах большеберцовой кости можно установить дополнительные блокирующие винты в разных плоскостях, чтобы повысить стабильность этой конструкции (рис. 13).

Рисунок 13. Множественные переломы большеберцовой кости, обработанные интрамедуллярным штифтом с двумя дистальными и тремя проксимальными блокирующими винтами, с последующими рентгенологическими исследованиями, предполагающими заживление перелома.
-Фибулярная фиксация
Современные конструкции интрамедуллярных стержней с дистальными блокирующими винтами расширили показания к интрамедуллярному стержню большеберцовой кости, включив в него проксимальные и дистальные переломы, затрагивающие метафизарную область.
В исследовании использовались различные конфигурации дистальных блокирующих винтов (2 винта от медиального к латеральному против 2 винтов, расположенных перпендикулярно друг другу, и всего 3 дистальных блокирующих винта по сравнению только с 1 дистальным блокирующим винтом). У пациентов, которым была проведена фиксация малоберцовой кости и интрамедуллярная фиксация гвоздями большеберцовой кости, частота потери ресета была значительно ниже. У 13 % пациентов с интрамедуллярной фиксацией гвоздями без фиксации малоберцовой кости наблюдалась послеоперационная потеря ресета по сравнению с 4 % пациентов с фиксацией гвоздями на большеберцовой кости без фиксации малоберцовой кости.
В другом исследовании, сравнивавшем эффективность фиксации интрамедуллярными гвоздями большеберцовой кости по сравнению с фиксацией малоберцовой кости и интрамедуллярной фиксации гвоздями большеберцовой кости по сравнению с отсутствием фиксации малоберцовой кости, у пациентов, получавших фиксацию малоберцовой кости в сочетании с гвоздями на большеберцовой кости, наблюдалось улучшение ротационного и инверсионного/эверсионного выравнивания.
Мы пришли к выводу, что дополнительная фиксация малоберцовой кости обеспечивает и поддерживает редукцию переломов большеберцовой кости при переломах дистальной трети большеберцовой кости, подвергающихся интрамедуллярной фиксации гвоздями. Однако остается проблема раневых осложнений от дополнительных разрезов в области травмированных тканей. Поэтому мы рекомендуем с осторожностью использовать вспомогательную фиксацию малоберцовой кости.
Хорошие результаты дает интрамедуллярная фиксация переломов ножки большеберцовой кости. В различных исследованиях сообщалось о скорости заживления интрамедуллярных штифтов большеберцовой кости. Ожидается, что при использовании современных имплантатов и соответствующих хирургических методов показатели заживления превысят 90%. Скорость заживления переломов ножки большеберцовой кости, которые не удалось зажить после интрамедуллярной фиксации стержнем, значительно улучшилась после внутренней фиксации вторым расширенным интрамедуллярным стержнем.
Оценка результатов через год после операции показала, что до 44 % пациентов продолжали иметь функциональные ограничения в поврежденной нижней конечности, а до 47 % продолжали сообщать о трудовой нетрудоспособности через год после операции. Исследование предполагает, что пациенты, получавшие интрамедуллярный штифт большеберцовой кости, продолжают иметь значительные функциональные ограничения в долгосрочной перспективе. Хирурги должны знать об этих проблемах и консультировать пациентов соответствующим образом!
Боль в передней части надколенника и бедренной кости является частым осложнением после интрамедуллярной фиксации стержнями при переломах ножки большеберцовой кости. Исследования показали, что примерно у 47 % пациентов после интрамедуллярного штифта могут возникнуть препателлярные боли, этиология которых до конца не выяснена. Потенциальные влияющие факторы могут включать травматические и медицинские повреждения внутрисуставных структур, повреждение инфрапателлярной ветви подкожного нерва, слабость мышц бедра, вторичную по отношению к подавлению нервно-мышечных рефлексов, связанных с болью, фиброз жирового слоя, приводящий к ущемлению, реактивный тендинит надколенника, изгибающую нагрузку от интрамедуллярного гвоздя над проксимальной частью большеберцовой кости и выпячивание проксимального конца ногтя.
При изучении этиологии препателлярной боли после интрамедуллярного стержня транспателлярный сухожильный доступ сравнивали с парапателлярным доступом. Транспателлярный подход к сухожилию может быть связан с более высокой частотой послеоперационных болей в колене. Однако проспективные рандомизированные клинические данные не выявили каких-либо существенных различий между транспателлярным сухожильным подходом и парапателлярным подходом.
Эффективность селективного снятия внутренней фиксации для устранения боли в препателлярной области после интрамедуллярного крепления гвоздей на большеберцовой кости неясна. Мы рекомендуем рассмотреть возможность удаления интрамедуллярного стержня большеберцовой кости, если можно идентифицировать механическую этиологию, например, выступание стержня или выступающий блокирующий винт. Однако польза от интрамедуллярного удаления гвоздя большеберцовой кости у симптоматических пациентов остается сомнительной.
Что касается послеоперационной препателлярной боли, причину боли не удалось четко продемонстрировать в первоначальном клиническом исследовании интрамедуллярной фиксации стержня большеберцовой кости на надколеннике в полувытянутом положении. Таким образом, необходимы крупные клинические исследования с долгосрочным наблюдением для подтверждения влияния интрамедуллярной фиксации гвоздями из супрапателлярного доступа на послеоперационную препателлярную боль.
Посттравматический остеоартрит остается серьезной проблемой после лечения переломов ножки большеберцовой кости с помощью интрамедуллярных стержней. Биомеханические исследования показали, что смещение большеберцовой кости может привести к значительным изменениям контактного давления в прилегающих голеностопных и коленных суставах.
Клинические исследования, оценивающие долгосрочные клинические и визуализирующие результаты после перелома ножки большеберцовой кости, предоставили противоречивые данные о последствиях смещения большеберцовой кости, без четких выводов на сегодняшний день.
Сообщения о послеоперационном смещении после интрамедуллярного фиксации большеберцовой кости остаются ограниченными, сообщается о небольшом количестве случаев. Послеоперационная мальротация остается распространенной проблемой при интрамедуллярных стержнях большеберцовой кости, а интраоперационная оценка ротации большеберцовой кости остается сложной задачей. На сегодняшний день не существует ни одного клинического обследования или метода визуализации в качестве золотого стандарта для интраоперационного определения ротации большеберцовой кости. Оценка компьютерной томографии показала, что частота мальротации после интрамедуллярного фиксации большеберцовой кости может достигать 19–41%. В частности, деформации внешней ротации встречаются чаще, чем деформации внутренней ротации. Клиническое обследование для оценки послеоперационной мальротации оказалось неточным и показало низкую корреляцию с оценкой КТ.
Мы считаем, что смещение остается долгосрочной проблемой при переломах ножки большеберцовой кости, которые лечатся интрамедуллярным стержнем большеберцовой кости. Несмотря на противоречивые данные относительно взаимосвязи между смещением и клиническими результатами и результатами визуализации, мы полагаем, что хирургам следует стремиться к достижению анатомического выравнивания переломов, чтобы контролировать эту переменную и получать оптимальные результаты.
Статическая блокировка расширенных медуллярных интрамедуллярных стержней остается стандартным методом лечения переломов ножки большеберцовой кости со смещением. Правильная точка входа остается важной частью хирургической процедуры. Супрапателлярный доступ в полуразогнутом положении считается безопасной и эффективной процедурой, и будущие исследования должны дополнительно оценить риски и преимущества этой процедуры. Лечащий хирург должен быть знаком с современными методами репозиционирования. Если совмещение анатомических переломов не может быть достигнуто закрытым доступом, следует рассмотреть возможность использования методов инцизионной репозиции. Хорошие показатели заживления более 90 % могут быть достигнуты как при использовании расширенных, так и при нерасширенных интрамедуллярных стержнях. Несмотря на хорошие показатели выздоровления, у пациентов по-прежнему сохраняются долгосрочные функциональные ограничения. В частности, препателлярная боль остается распространенной жалобой после интрамедуллярного введения стержня большеберцовой кости. Кроме того, распространенной проблемой остается мальротация после внутренней фиксации большеберцовой кости.
Ссылки
01;15:207–209. doi: 10.1097/00005131-200103000-00010 .и т. д.......
Практическое руководство по проверке поставщиков ортопедических имплантатов и инструментов
Производители ортопедических имплантатов в 2026 году: рейтинг трех крупнейших дистрибьюторов
Топ-7 критериев оценки при выборе поставщиков ортопедических товаров в 2026 году
Лучшие поставщики ортопедических товаров (2026 г.): рейтинг дистрибьюторов на первом месте
Как найти экономически эффективных поставщиков ортопедических товаров без ущерба для качества
12 лучших производителей ортопедической продукции для покупателей (2026 г.)
Технический документ по закупкам ортопедических OEM-ODM для дистрибьюторов в Латинской Америке
Контакт