Просмотры:0 Автор:Pедактор сайта Время публикации: 2025-02-28 Происхождение:Работает
Разрыв дистального радиуса является распространенным переломом после скольжения по снегу зимой, и закрытое сокращение и фиксация проволоки Киршнера являются наиболее распространенными методами лечения.
Эта статья относится к принципам и методам K-развода, чтобы ввести хирургические методы закрытого закрепления.
Один через листер бугорок.
Один через радиальный стилоидный процесс.
Один через лунный костный блок.
Если: тяжелые заполненные переломы и остеопороз, можно использовать дополнительные провода Киршнера.
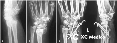
Во -первых, выполняется закрытое восстановление перелома, с медленной и непрерывной тягой, а дорсальное и радиальное смещение корректируется с помощью сгибания пальма и локтевого отклонения. После сокращения рука помещается на свернутый лист, поддерживая пальмовое сгибание и локтевое отклонение (рис. 2а, б) и фиксируется не менее трех чрескожных проводов Киршнера.

Первый K-провод вводится в бугорку Листера, наклонен при 45 ° и направлена на пальмовую кору проксимального фрагмента кости на длинной оси радиуса. Если точка вставки находится на локтевой стороне бугорки Листера, сухожилие Extensor Ollicis может быть повреждено.
Вторая K-провода вставлена 0,5 см дистальна к радиальному стилоидному процессу, K-провода находится под углом 60 ° к радиальной оси и проникает в локтевую кору, проксимальную к перелому.
Третий K-провода фиксируется к фрагменту Lunate Fossa Bone 0,5 см дистально до линии сустава запястья, расположенной между четвертым и пятым компартментами разгибателей. K-провода прикреплена к ладонильной стороне радиуса под углом 45 °, как показано на рисунках A и B ниже.

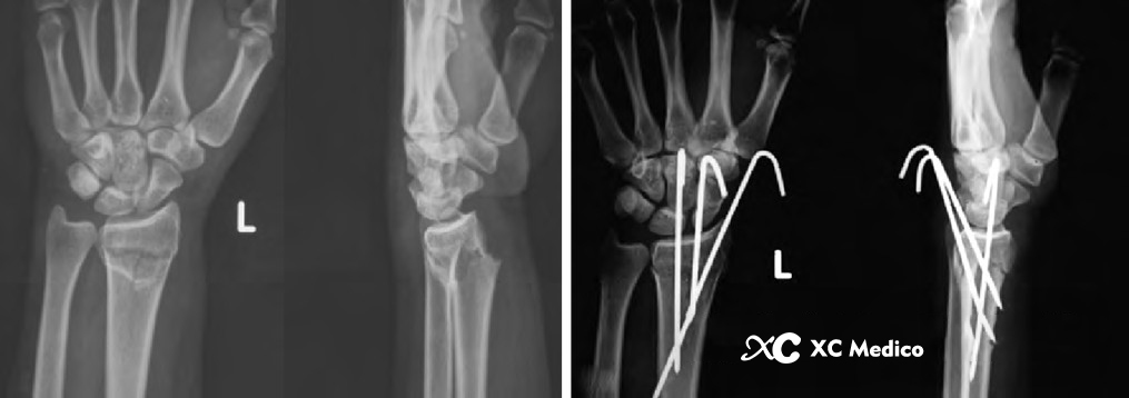
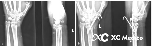
Классическая чрескожная фиксация проволоки Киршнера расстановки дистального радиуса показана на рисунках AE ниже.




Движение пальца после чрескожной фиксации проволоки Киршнера показано на рисунках и внизу.

1. Если K-проволока проскользнет в медуллярную полость без проникновения в контралатеральную кору, он может быть вызван слишком большим наклоном, когда входит K-провода. В этом случае люди склонны поднимать руки, чтобы уменьшить наклон. Но на самом деле, наоборот верно. K-провода будет наклонен и изогнут вогнутым, что приведет к неудаче прокола K-провода. Вместо этого он должен быть мягко выпуклой вверх в соответствии с контуром K-провода, как показано на рисунке ниже.

С выпуклыми выпуклой K-провода вверх в дистальную кору вводится точка входа без осевого давления, и она может проникнуть в дистальную кору. В качестве альтернативы точка вставки должна быть изменена и начала с самого начала (цифры AE ниже).


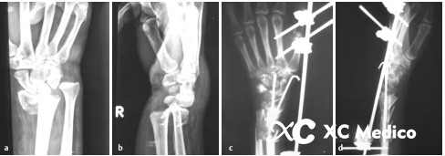
2. В технике Капанджи в место перелома вставлено от двух до трех K-проводов, чтобы уменьшить и исправить дистальные фрагменты перелома в желаемое положение. После уменьшения k-проволоки продвигаются в проксимальные фрагменты (рисунки AF ниже).

3. Если вход и точки выхода Киршнера очень близки к перелому, может произойти сбой фиксации. Два спинных провода Kirschner не должны проходить через пальмовую кору на том же уровне, а точка выхода из ладони должна находиться в 2 см от места перелома. См. Рисунки AC ниже.

4. Когда дорсальная кора чрезвычайно заправлена, постарайтесь не войти в место разрушения фрагмента дистальной кости, так как это может привести к неудаче фиксации. Рисунки AE ниже.

5. Для тяжелого остеопороза лучше всего использовать провода от четырех до пяти киршнеров, чтобы исправить перелом. Иногда, чтобы поддерживать длину радиуса, поперечная проволока Киршнера используется для исправления дистального радиуса костяного блока до дистальной локтевой кости.
6. В длинных переломах сегмента эпифизарного конца можно использовать большую наклонную проволоку Киршнера. Тем не менее, проволока Киршнера может проскользнуть в медуллярную полость, и его трудно исправить (рисунки AD ниже).

7. Фрагмент внутрисуставной кости открывается и фиксируется поперечной проволокой Киршнера под хрящом, а затем фиксируется тремя чрескожными проводами Киршнера обычным способом (рисунки и приведенные ниже).

8. Тяжелый разбитый перелом дистального радиуса, сопровождаемого укороченным и коллапсом, требует дополнительной поперечной проволоки Киршнера для прохождения через локтевую среду для поддержания высоты радиуса. Провод Kirschner лучше всего направлена со стороны ладони стилоидного процесса к дорсальной стороне локтевой кости, как показано на рисунках A и B внизу.

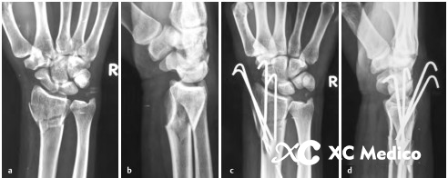
9. Радиальный стилоидный перелом с дорсальным смещением. После сокращения исправьте два радиальных стилоидных провода Kirschner: один на дорсальной стороне, а другой на ладони, к кончику стилоида. (Рисунки A и B ниже)

10. Четырехпанный перелом дистального радиуса с дорсальным смещением и отделением лунной ямки со стороны ладони. Провод Kirschner может быть зафиксирована из дорсальной коры наклонным образом от проксимального до дистального фрагмента кости метакарпала. (Рисунки A и B ниже).

11. При использовании дорсальных и пальмовых проводов Киршнера для лечения заманированных переломов дистального радиуса, если ладонный фрагмент лунной ямки не уменьшается во время операции, вы можете использовать подход ладони, используйте сосудистый зажим, чтобы отделить кость, а затем вставить проволоку Киршнера от фрагмента фрагмента пальмара в доррсовый каркас. (Рисунки ах ниже)

12. Для явно вытесненных переломов дистального радиуса, которые не могут быть уменьшены путем замкнутого восстановления, можно использовать проволоку на 3 мм Киршнера для поднятия дистального фрагмента перелома с задней части для достижения восстановления (рисунки ах ниже).

13. Используйте внешние фиксаторы для обработки обожженных переломов дистального радиуса. Внешние фиксаторы подходят для тяжелых переломов дистального радиуса, сопровождаемого огромным отеком, открытыми переломами или местными кожными условиями, которые не позволяют внутреннюю фиксацию (например, фиксацию пластин) (рисунки AD ниже).

Обратите внимание на бикортикальную фиксацию.
Избегайте размещения точки выхода дистальной иглы рядом с переломом.
Избегайте всех проводов Kirschner, сходящихся на дистальном конце, чтобы сосредоточить силу.
Будьте осторожны, чтобы избежать свободного вращения при изгибе проволоку Киршнера.
В случае остеопороза требуется дополнительная фиксация проволоки Киршнера.
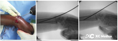
Сначала разрезать кожу, разделить мягкие ткани до кости сосудистым зажимом, а затем используйте проволоку Киршнера.
Тренировка медленно, чтобы предотвратить термический некроз.
Избегайте повторяющихся операций слишком много раз.
Уменьшите давление проволоки Киршнера на коже.
Топ-7 критериев оценки при выборе поставщиков ортопедических товаров в 2026 году
Лучшие поставщики ортопедических товаров (2026 г.): рейтинг дистрибьюторов на первом месте
Как найти экономически эффективных поставщиков ортопедических товаров без ущерба для качества
12 лучших производителей ортопедической продукции для покупателей (2026 г.)
Технический документ по закупкам ортопедических OEM-ODM для дистрибьюторов в Латинской Америке
10 критериев лучшего OEM-поставщика ортопедических изделий для больниц (2026 г.)
Контакт