Просмотры:0 Автор:Pедактор сайта Время публикации: 2025-03-04 Происхождение:Работает
Переломы ключицы относительно распространены и обычно являются результатом прямой или косвенной травмы в области плеча. Исследования в начале 1960 -х годов сообщили, что уровень переломов ключицы не составил менее 1%, а консервативное лечение приводило к высокой удовлетворенности пациентов; С недавним развитием медицины хирургическое лечение достигло значительной эффективности; Таким образом, клиницисты, работающие в отделении неотложной помощи или в амбулаторной клинике, должны быть знакомы с общими проявлениями и осложнениями этой травмы и ее основным лечением.
Переломы ключицы составляют 2,6% -5% всех переломов взрослых [1,2]. Европейское исследование, которое включало 1000 случаев подряд случаев переломов ключицы, обнаружили [3,4], что более 66% переломов ключицы происходили в средней 1/3 ключицы, приблизительно 25% были боковыми переломами 1/3, а 3% были медиальными 1/3 переломами. Частота переломов ключицы показала бимодальное распределение, происходящее в основном у мужчин в возрасте до 30 лет, за которыми следуют те, кто старше 70 лет.
Самым ранним человеческим скелетом для начала окостенения является ключица, единственная костная связь между верхней рукой и стволом, которая сочтенна дистально с акромионом, акромиоклавикулярным (AC) суставом и проксимально с грудиной, стеротерглавичным (SC) суставом. Эти суставы называются нетипичными синовиальными суставами, потому что они облицованы фиброкартилясом, а не гиалиновым хрящем. Ключица прикрепляется к лопаточности акромиоклавикулярными и ростроклавикулярными связками и прикрепляется к грудине грудиной связкой.


Клавица - это в форме. Проксимальная полугольная проекта проецирует спереди, оставляя место для нейросулярного пачка верхней конечности. Дистальная половина дуги проецирует назад (вогнутые), а затем соединяет лопатку (ростральный процесс и акромион). Переломы ключицы обычно возникают на соединении двух дуг (середина диаграмма), скорее всего, из-за отсутствия связок, прикрепленных к соседним костям в этом регионе, и потому что это самая слабая часть ключицы. Когда перелом ключицы смещается, проксимальный сегмент почти всегда тянет вверх (головокружение) из -за грудиноклеадомастоидной мышцы (прикрепленной к проксимальному конце ключицы), а дистальный сегмент вытесняется по нисходящему (ковш) по весу), и кнопленная первичная, первая, на »(IE), на одном), на одном), на одном), на одном), на одном), на одном), на одном), на » (IE), наглядно) Сокращение субскапуляриса и майора Pectoralis (которая внутренне вращает верх). В основном это связано с сокращением основных мышц Subscapularis и Pectoralis (которые внутренне вращают плечо и тянут его к груди).



Целью лечения перелома ключи является минимизация боли и восстановить функцию суставов. Большинство переломов ключицы все еще обрабатываются в основном консервативно (обычно сокращается не более 15 мм); Консервативные методы лечения, такие как повязки фигуры восьми, стропы предплечья, повязки Sayre, костюмы иммобилизации Velpeau и иммобилизация. Иммобилизация суспензии выполняется в острой фазе, а ранний диапазон тренировок для движения и силовых упражнений обычно выполняется через 2-6 недель после перелома, когда боли разрешается. Использование фигуры из 8 повязки не рекомендуется, так как это может привести к лозжам подмышечного давления и большему количеству перелома [5,6].

Переломы ключицы вызваны прямым воздействием на плечо после падения и обычно встречаются в открытом спорте у молодых и непреднамеренных падений у пожилых людей. Важно определить механизм травмы. Высокоэнергетические травмы могут сочетаться с травмами головы и груди, тогда как переломы, вызванные незначительными травмами, могут быть патологическими. Распределительные травмы требуют раннего начала и тщательного исключения лопаточного разделения стенки грудной клетки, неврологических и сосудистых повреждений. Клинически в месте перелома происходит отеки и экхимоз в сочетании с деформацией и нежностью. Внимание должно быть уделено мягким тканям для поднятия, что может вызвать некроз кожи и изъязвления.


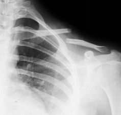
Большинство переломов могут быть диагностированы с помощью простых антеропостериальных рентгенограмм. Рентгенограммы наклона головки 20 ° устраняют влияние перекрывающихся грудных полостей. Пациенты должны быть рентгенограмма в положении самоподдерживания, чтобы лучше визуализировать смещение переломов. Веса для рентгенограммы помогает в оценке целостности ростральной клавикулярной связки в дистальной ключице или акромиоклавикулярной повреждениях суставов. Взятие рентгенограммы грудной клетки помогает исключить связанную торакальную травму, а укорочение может быть оценено путем сравнения с контралатеральной ключицей, а также исключая лопатологическую стенку.


AO/OTA DRACKURE DISLOCATION Типирование: Код перелома ключицы 15 состоит из трех сайтов: 15,1 проксимального (медиального), 15,2 диафиза и 15,3 дистального (боковой). Проксимальные (медиальные) и дистальные (боковые) переломы классифицируются как тип A (внебидукулярный), тип B (частично внутрисуставный) и типа C (полностью внутрисуставный). Переломы ствола классифицируются как тип A (простой), тип B (клин) и тип C (Comminated). Классификация AO/OTA переломов и дислокаций не учитывает степень смещения переломов и в настоящее время имеет ограниченное использование при лечении переломов ключицы и определения прогноза.

Типинг Allman основан на местоположении перелома (I: Medial, Cadent 1/3, II: боковой 1/3, III: медиальная 1/3) (рис. 7.2.1).

Крейг снова усовершенствовал эту классификацию на основе Аллмана, а я был средним 1/3 ключицы; тип II является внешним 1/3 ключицы, которая затем была разделена на 5 типов на основе смещения перелома и связи с ростральной клавикулярной связкой; и тип III является разрушением внутренней 1/3 ключицы, которая была разделена на 5 типов в зависимости от степени перелома и то, был ли перелом внутрижичной.

Типирование Neer боковых переломов 1/3 подчеркивает важность рострально-клавикулярной связки: тип I встречается дистальным по отношению к рострально-клавикулярной связке, при этом блок перелома медиального перелома вытесняется превосходно; Тип II включает в себя рострально-клавикулярную связку и приводит к тому, что блок медиального перелома вытесняется превосходно; и тип III распространяется на акромиоклавикулярный сустав с ростральной клавикулярной связкой, остающейся неповрежденной.

Эдинбургское типирование - это система классификации переломов диафиза в соответствии со степенью смещения и просмотра. Переломы диафиза классифицируются в соответствии с наличием или отсутствием кортикального контакта между фрагментами перелома в типы A и B. Плохи типа 2A далее классифицируются как невыполненные (тип 2A1) и угловые (тип 2A2), 2B-переломы классифицируются как простые или клинообразные (тип 2B1), а также ковертуру (тип 2B2). и тип 3 - боковой конец диафиза. Медиальные и боковые конечные переломы подразделяются на подгруппы 1 и 2 в зависимости от того, участвует ли смежный сустав.

Точно так же есть набор печати Rockwood, Jager Typing и Breitner Typing.
1, открытый перелом;
2, смещение> 2 см;
3, укорочение> 2 см;
4, рассмотрение фрагментов перелома (> 3);
5, многосегментный перелом;
6, лежащий в основе открытого перелома с повреждением мягких тканей;
7, значительная деформация (смещение и укорочение);
8, травму скафоида.

1, комбинированная ипсилатеральная травма верхней конечности;
2, плавающая травма плеча;
3, множественные травмы;
4, перелом в сочетании с нейросулярным повреждением;
5, ипсилатеральные множественные переломы ребер в сочетании с деформацией грудной стенки;
6 - укорочение ключицы, чтобы сформировать крылатое плечо;
7, двусторонние переломы ключицы.

1, пациенты с множественными травмами требуют раннего веса верхней конечности;
2, пациенты, требующие быстрого возврата к функции (например, элита и соревновательные виды спорта).
Хирургия должна быть выполнена без промедления, когда присутствуют абсолютные показания для операции.
Задержка в хирургии свыше 2-3 недель в относительных показаниях может увеличить сложность снижения перелома, особенно при подготовке к закрытому снижению внутренней фиксации с помощью чрескожных методов.
Пациент помещается в позицию стула пляжа или полузащитное положение. Затронутое плечо подполняется под ним, чтобы поднять ключицу для простоты операции, а рука полотенца, чтобы обеспечить интраоперационную мобилизацию. Можно выбрать поперечный разрез вдоль длинной оси ключицы или разреза с сабелой, параллельной рисунку Лангера.
ПРИМЕЧАНИЕ. Поперечный разрез обеспечивает большее расширение, в то время как продольный разрез снижает риск чрезмерного повреждения нерва и является более эстетически приятным.
3.5 Систематические сжатые пластины, реконструкционные пластины или пластиковые LCP могут использоваться для закрепления переломов ключицы. Пластины плавно расположены над или передней к ключице. Пластины более сильнее в биомеханических травмах, когда они расположены превосходно, особенно если внизу есть разбитый перелом, и их проще в визуализации. Необходима бикортикальная фиксация винтов, и отверстия должны быть просверлены с большой осторожностью, так как внизу риск повреждения нервов и кровеносных сосудов. Преимущества: безопасное бурение переднего винтового канала, приложение пластины, легкая контур.
ПРИМЕЧАНИЕ: костная трансплантация обычно не требуется для начальной процедуры; После внутренней фиксации крайне важно адекватно швать миофасциальный слой, чтобы покрыть пластину и предотвратить инфекцию.

Текущие интрамедуллярные устройства фиксации включают в себя булавки Kirschner, булавки для роквуд, Hagie Pins, титановые упругих интрамедуллярных контактов, полые винты и упругие блокирующие интрамедуллярные ногти; Например, эластичные гвозди титана не позволяют статическую блокировку, не позволяют контролировать длину и вращение, и могут привести к вторичному укорочению при использовании для оборванных переломов. Метод интрамедуллярного гвоздя может быть применена только к простым, поперечным или косой переломах ключицы.
Меньший разрез, более эстетическая, менее мягкая ткани, более низкий риск выступления эндофита и стабильность, связанная с формированием кусочков.
раздражение кожи или дефекты в точке входа.
Примечание. Закрытое уменьшение переломов ключицы иногда трудно, и переэкспонирование руки оператора до излучения избегается во время хирургических маневров.





Считается, что минимально инвазивный остеосинтез ключицы обеспечивает большую биомеханическую прочность, избегая недостатков фиксации открытой пластины или интрамедуллярной фиксации.
Интраоперационное размещение системы LCP 3.5 перед ключицей, предпочтительно спереди ниже ключицы, позволяет ссылаться на здоровую ключицу, облегчая формирование пластины заранее и получает более длинную апертуру винта.
Раннее применение минимально инвазивного остеосинтеза пластин может быть связано с суправикулярным повреждением нерва, плохим выравниванием или укорочением пар проводов, влияющих на функцию, и изгиб или перелом пластин.



Выбор имплантатов пластин зависит от размера бокового костяного блока. Для бокового костяного блока требуется минимум 3 бикортикальных винта. В идеале, винты натяжения должны использоваться для наклонных переломов. Если костный блок слишком мал для фиксации, может использоваться крючка ключица.


Акромиоклавикулярные травмы сустава составляют 12% травм лопаточного пояса и часто встречаются у спортсменов -заполненных контактов.
Наиболее часто используемая система постановки - это постановка Rockwood. Тип I представляет собой растяжение акромиоклавикулярной связки с ростроклавикулярной связкой нетронутой; Тип II - это разрыв акромиоклавикулярной связки с ростроклавикулярной связкой неповрежденной; Тип III - это слеза как акромиоклавикулярной связки, так и ростроклавикулярной связки; Тип IV - это заднее смещение дистальной ключицы, пронзая трапеции; Тип V является полной разрывом как акромиоклавикулярной сустава, так и ростроклавикулярной связки с более чем 100 -процентным смещением сустава; и травмы типа VI очень редки, при этом дистальная ключица смещена вниз ниже рострального процесса.
Консервативное лечение с кратковременным торможением с кантилевером рекомендуется для травм типа I и типа II. Управление травмами типа III является противоречивым, причем некоторая литература предполагает, что консервативное лечение показано для активных молодых людей. Функциональное восстановление хорошее, хотя могут быть различные степени деформации по внешнему виду. Тип IV - травмы VI более тяжелые, и рекомендуется хирургическое вмешательство.
В настоящее время обычно используемые хирургические процедуры: метод блокировки рострального винта Bosworth с одностадийным восстановлением или отсутствие ремонта связки;, фиксация крючков клавиля, аналогично боковому концу перелома ключицы; Фиксация таблички Tightrope или привязый шар через артроскоп или небольшой разрез; и ростральная фиксирующая шар связок или армированная суспензия, с искусственным материалом или сухожилием между ростральным возвышением и ключицей.
Неясно, какая хирургическая техника является более выгодной, и, хотя может быть некоторая степень потери вновь повторной передачи, конечная эффективность всех этих методов является удовлетворительной.
Эти травмы относительно редки, и опять же, существует нехватка руководящих принципов лечения, основанных на доказательной медицине.
Медиальные переломы ключицы часто бывают вне -тикулярными переломами с незначительным смещением и их можно лечить консервативно. Эпифиз медиального конца ключицы обычно закрывается в возрасте 23-25 лет и является последним эпифизом, который закрывается в организме. Следовательно, многие медиальные травмы на самом деле являются эпифизарными переломами тарелки со Сальтер-Харрисом типа I или II. Обычные рентгеновские снимки трудно диагностировать, с тем, что рентгенограмма наклона головки на 40 ° и сравнение со здоровой стороной может показать смещение медиального конца ключицы, а КТ обеспечивает наилучшую диагностическую визуализацию.
Переломы или дислокации, которые смещены спереди, обычно могут быть закрыты и перемещены, но часто нестабильны и лоботомизируются для повторного рассеяния. Паллиативная помощь рекомендуется для постоянных дислокаций или смещений, поскольку они часто не приводят к функциональным нарушениям. Вывих медиального конца ключицы сзади редко приводит к повреждению верхнего средостения, включая повреждение сосудов или даже обструкцию трахеи и сжатие дыхательных путей. Для дислокаций и переломов, когда медиальный фрагмент слишком мал, пластины могут быть соединены через сустав для фиксации на грудине.
Например, внешняя фиксация с стентом, внешняя фиксация с помощью ключицы и т. Д.


Верхняя рука должна быть иммобилизована в стропов, и тренировки маятника на плече следует немедленно запустить. Через 2 недели пациент должен быть последовал, чтобы проверить рану и просмотреть рентгеновские снимки, в то время как слинг предплечья можно удалить, и можно начать неограниченную тренировку по подвижности суставов, но пациенту следует сказать, что не поднимать вес с пораженной конечностью. Силовые тренировки могут быть начаты через 6 недель после операции, когда появляются признаки исцеления кости. Следует избегать контактных видов спорта или экстремальных видов спорта в течение 3 месяцев после операции, пока перелом не будет полностью зажил.
Послеоперационные раневые инфекции могут происходить в 4,8% случаев;
Онемение в подключине является наиболее распространенным осложнением, причем исследование естественной истории составляет до 83% пациентов с этим симптомом, которое со временем уменьшается и не приводит к значительной дисфункции, хотя он может сохраняться до 2 лет после операции;
Выпячивание эндофита и перемещение кожи, общие с использованием объемных пластин или хвостов ногтей без хорошего покрытия мягких тканей;
повторный перелом, который может возникнуть после хирургического и консервативного лечения; Пост-хирургический перевод может привести к изгибе или нарушению эндопротеза или разрушению вокруг эндопротеза;
Неразовое, с 15% -ным уровнем нерасков с консервативным лечением и 2% нерадостным, с хирургическим лечением для полностью смещенных переломов диафиза; Полное смещение перелома, укорочение более 2 см, курение, возрастающий возраст, высокоэнергетические травмы, повторная эксплуатация (механическая нестабильность), непостоянные дислокации диафизейного диафиза, плохое качество костей и чрезмерная потеря кости.



Остеоартрит акромиоклавикулярного сустава чаще встречается с внутрисулярными переломами (Эдинбург тип 3B2); Когда симптоматическое и консервативное лечение неэффективно, дистальная ключица может быть резецирована артроскопически или путем открытой операции;
Заживление деформации, которое происходит в различной степени во всех консервативно обработанных переломах; Сокращение лопаточного пояса, сопровождаемое вращением блока дистального перелома, может привести к снижению конечной силы плеча и выносливости, особенно при похищении плеча; Сужение грудного розетки может привести к симптомам сжатия плечевого сплетения; И недооценка суставов лопатки лопатки может вызвать переднюю наклону лопатки и вызывать боль в плече и миалгию, если ясно, что симптомы связаны с деформацией при возникновении заживления, коррекция остеотомии и фиксация пластины возможны в зависимости от потребностей пациента.
Связанное исследование в Европе сообщалось, что хирургическое лечение перемещенных переломов в средней клавишниках было эффективным, и его мета-анализ показал, что частота мультинота, приводящего к переломам, и, продуцирующим симптомами, значительно ниже в хирургической группе, чем в консервативно лечившейся группе, когда операция сравнивалась с консервативным лечением; Кроме того, хирургическая группа на раннем этапе уменьшила боль, и улучшение функциональных баллов постоянных и DASH было более выраженным.
Большинство переломов ключицы вызваны прямым или косвенным насилием, и лечение может быть классифицировано как консервативное или хирургическое лечение. С точки зрения лечения, хотя большинство переломов ключицы без значительного смещения можно лечить консервативно, вариант хирургического лечения для переломов со значительным смещением является спорным. Для переломов смещенной ключицы хирургическое лечение имеет более высокую частоту заживления кости и ранних функциональных результатов по сравнению с консервативным лечением.
[2] Eiff, MP, Hatch, et al. Ключица и лопатка переломы. В кн.: Управление переломами для первичной медицинской помощи, 2 -е изд, WB Saunders, Philadelphia 2002. С.198.
[4] Neer CS 2 -й. Переломы дистальной трети ключицы. Clin Orthop Relat Res 1968; 58:43.
Топ-7 критериев оценки при выборе поставщиков ортопедических товаров в 2026 году
Лучшие поставщики ортопедических товаров (2026 г.): рейтинг дистрибьюторов на первом месте
Как найти экономически эффективных поставщиков ортопедических товаров без ущерба для качества
12 лучших производителей ортопедической продукции для покупателей (2026 г.)
Технический документ по закупкам ортопедических OEM-ODM для дистрибьюторов в Латинской Америке
10 критериев лучшего OEM-поставщика ортопедических изделий для больниц (2026 г.)
Межтеловые спондилодезические клетки: будущее лечения позвоночника
Контакт