Просмотры:0 Автор:Pедактор сайта Время публикации: 2025-03-14 Происхождение:Работает
Использование фиксирующих пластин значительно расширило сферу применения пластин для внутренней фиксации переломов. Однако их использование должно быть рационализировано и оптимизировано из-за потенциальных ловушек и ограничений. В этой статье мы рассмотрим аспекты применения, проблемы удаления и ограничения, а также 3 аспекта применения запирающей пластины.
Действия по вправлению перелома стандартизированы. Запирающие пластины не восстанавливают переломы.
После установки в костный сегмент добавление дополнительных винтов не приведет к его перемещению. Если используется запирающая пластина, допускающая только запирающие гвозди,
это означает, что пластину можно зафиксировать только после фиксации перелома.
Поскольку фиксирующие пластины позволяют заживлять кости без потери первоначального положения,
Основной причиной неправильного сращения запирающих пластин является неправильное первоначальное положение.
А плохое репозиционирование из-за неадекватной механики может привести к плохому заживлению, поскольку костная пластина разрывается из-за задержки заживления или отсутствия заживления.
Репозиция без использования фиксирующих пластин особенно сложна при выполнении минимально инвазивных операций.
процедуры, поскольку воздействие на кость очень ограничено. Требуются различные процедуры вытяжения (столы для вытяжения, ретракторы),
различные щипцы для чрескожной репозиции и спицы Киршнера для манипулирования костными фрагментами и временной фиксации.
Перед применением фиксирующих пластин и фиксирующих гвоздей крайне важно проверить правильность установки с помощью рентгеноскопии.
И наоборот, при использовании запирающей пластины, которая также имеет стандартные отверстия для винтов,
стандартный тракционный винт можно поместить в стандартные отверстия для первоначального изменения положения пластины.
К пластине прикладывают костные фрагменты. Если пластина соответствует анатомии, ее можно использовать в качестве направляющей для сброса настроек.
Фиксирующие гвозди обеспечивают стабильные результаты без изменения первоначального сброса. Этот порядок установки (стандартные винты, затем стопорные винты) важен (рис. 4).

Рис. 4 Сначала вставьте стандартные винты и затяните их.
При затягивании винтов с фиксирующей головкой тактильная обратная связь отсутствует. Фактически,
затягивание фиксирующего стержня происходит одновременно в кортикальной или губчатой кости и в металле фиксирующей пластинки. По этой причине,
Врачу легко ошибочно предположить, что стопорный стержень хорошо держится в кортикальной или губчатой кости (рис. 3).

Рис. 3. Рабочая длина стопорных винтов в зависимости от типа кости и количества кортикальных слоев.
Использование самонарезающих стопорных винтов означает отсутствие тактильной обратной связи во время сверления или затяжки, поскольку они происходят одновременно.
Их механические свойства аналогичны свойствам однокортикальных стопорных винтов при применении с одинарной корой. Если они слишком длинные,
они будут контактировать с непросверленной второй корой головного мозга, что приведет к неправильному расположению фиксирующего гвоздя в фиксирующей пластине.
При бикортикальном применении они могут быть слишком короткими, что делает их механически эквивалентными однокортикальным стопорным гвоздям.
Если они слишком длинные, они выйдут за пределы коры и могут повредить важные структуры на другой стороне пластины.
Правильную длину стопорного гвоздя можно получить только путем измерения желаемой длины после сверления или проверки ее с помощью рентгеноскопии.
Основным недостатком одноосных стопорных гвоздей является то, что их ориентация предопределена.
На их пути может оказаться другой имплантат или ножка протеза, что делает невозможным их введение или ограничивает их монокортикальной фиксацией.
Для анатомических фиксирующих пластин, применяемых в конечностях с одноосными фиксирующими стержнями фиксированной ориентации,
оптимизированный по анатомическим и биомеханическим причинам, существует риск внутрисуставной установки блокирующих гвоздей.
Типичным примером является перелом дистального отдела лучевой кости. Этот риск еще выше, когда фиксирующая пластина находится в непосредственной близости от сустава или когда анатомия не соответствует стандартам.
Отсутствие внутрисуставного перелома должно быть подтверждено рентгеноскопией.
Методика малоинвазивного чрескожного остеосинтеза (МИПО) предполагает подкожное и/или подмышечное введение.
и экстрапериостальное введение костной пластинки через небольшое отверстие в кости после скольжения, не обнажая
место перелома. Это позволяет делать разрезы меньшего размера, снижает болезненность области хирургического вмешательства и делает процедуру более «биологической».
поскольку нет необходимости обнажать каждый костный фрагмент и нет вмешательства в мягкие ткани, периостальную васкуляризацию или гематому перелома.
Этого можно добиться с помощью запирающей пластины и специально разработанного инструмента, позволяющего пластине
им можно манипулировать и проводить через кожу, чтобы можно было легко найти фиксирующие отверстия для гвоздей в пластине.
На каждом этапе необходимо делать рентгеноскопические изображения для проверки прогресса. Каждый шаг этой техники сложен. Первой задачей является восстановление перелома перед фиксацией.
Затем фиксирующая пластина должна быть правильно отцентрирована по длине кости, иначе выравнивание фиксирующей пластины будет асимметричным (рис. 5). Кроме того,
фиксирующая пластина должна быть идеально параллельна корковому веществу кости, за которой она предназначена, и как можно ближе к кости.
можно без значительного снижения жесткости конструкции. На последнем этапе блокировки трудно гарантировать, что
каналы винтов правильно выровнены на стопорной пластине, а стопорные гвозди правильно зацеплены во время затяжки.

Рис. 5. Эксцентричное расположение стопорной пластины и отсутствие тактильной обратной связи во время затяжки винтов.
Использование фиксирующих пластин для фиксации внешних переломов лодыжки было связано с аномально высоким уровнем некроза кожи.
Толщина этих подкожных запирающих пластинок оказывает давление на кожу и препятствует ее сосудистому распределению и заживлению.
Нечто подобное может произойти, когда при переломах «ястребов» используются стопорные пластины.
При остеопорозе кости стопорные гвозди помогают снизить риск выдергивания или выдергивания винта.
Конструкция недостаточно жесткая из-за более тонкого кортикального слоя кости и пониженной плотности трабекул.
При этом фиксация блокирующей пластины всегда прочнее и лучше закрепляется при использовании затухающей или сходящейся монолитной конструкции (рис. 3).
1. стопорные винты не позволяют вправить перелом на костной пластине.
2. перелом необходимо вправить перед добавлением стопорного винта.
3. Чрескожная фиксация для репозиции перелома требует использования инструментов с блокирующей пластиной. техника MIPO более требовательна.
Удаление фиксирующей пластины после заживления перелома является сложной и непредсказуемой задачей.
но ситуацию можно решить. Самая большая проблема – ослабить стопорный винт.
В некоторых случаях резьба на шляпке стопорного гвоздя повреждается при введении.
(многократная затяжка и ослабление, шаблон отвертки поврежден и имеет не совсем шестигранную форму, ввинчивание винта осуществляется дрелью),
а это значит, что его нельзя открутить. Поэтому лучше всего предотвратить это осложнение, немедленно заменив любой винт на
повреждение рисунка головки во время имплантации, используя комплектную отвертку и полностью затягивая винт вручную (не электродрелью).
Использование винтов из более прочных материалов может помочь свести к минимуму эту проблему.
В большинстве случаев происходит механическое запирание или заедание между резьбой стопорного гвоздя и резьбовым отверстием в стопорной пластине.
Чаще всего это наблюдается при использовании титановых стопорных винтов с шестигранной головкой диаметром 3,5 мм. Не существует единого механизма
для помех. Винты часто изначально затягиваются слишком сильно из-за неиспользования динамометрического ключа, входящего в комплект инструментов.
который может изменить резьбу на фиксирующем штифте и фиксирующей пластине. В других случаях
неиспользование или использование неправильной направляющей сверла привело к тому, что винты не были выровнены при затягивании,
что привело к заклиниванию винтов. Чтобы свести к минимуму риск заклинивания во время первоначального процесса крепления,
при затягивании стопорных гвоздей необходимо использовать все доступные инструменты: направляющие и головки для сверл, динамометрические ключи в режиме полной целостности.
Метод MIPO несет в себе высокий риск неправильного размещения направляющей.
так как нет прямого обзора запирающей пластины. Неправильное выравнивание направляющей сверла означает, что отверстие, просверленное для
стопорный гвоздь и вставка стопорного гвоздя также будут неправильными. Также существует риск повреждения головки
стопорный гвоздь, если отвертка неправильно зацеплена с винтом.
По этим причинам, прежде чем снимать фиксирующую пластину, хирург должен осознавать, что она может оказаться неправильной.
можно ослабить стопорный гвоздь, что требует использования высококачественной шестигранной отвертки и дополнительных инструментов.
Если стопорный гвоздь не может быть ослаблен или рисунок головки поврежден,
первый шаг — вставить в головку винта экстрактор (коническую отвертку с обратной резьбой);
этого может быть достаточно, чтобы ослабить винт. Другой вариант — разрезать фиксирующую пластину по обе стороны от фиксирующего гвоздя и использовать
это как отвертка, чтобы расшатать всю конструкцию. Если винт по-прежнему не удается ослабить, стопорную пластину можно ослабить,
просверлив его дрелью, разрушив шляпку стопорного гвоздя или обрезав пластину, чтобы ослабить стопорный гвоздь. После этого,
Для удаления кольев стопорных штифтов можно использовать тиски. Если его по-прежнему невозможно ослабить (поскольку он интегрирован в кость или недостаточно выступает),
его можно удалить кольцевым сверлом (рис. 6).

Рис. 6. Советы и рекомендации по удалению стопорных винтов, застрявших в плате.
Все эти проблемы могут продлить операцию, стать причиной ссадин мягких тканей из-за вылетевших металлических фрагментов и нести риск инфицирования.
Использование кольцевой бормашины увеличивает риск периоперационных переломов.
1. Проблема удаления стопорных гвоздей возникает в первую очередь при использовании стопорных титановых винтов с шестигранной головкой 3,5 мм.
2. Лучший способ избежать этой проблемы — использовать все имеющиеся в наличии инструменты при вставке винта. Эти трудности можно решить, используя соответствующие инструменты.
Перелом пластины ключицы и несращение костной ткани
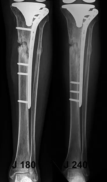
Обеспечивая, чтобы конструкция не была слишком жесткой из-за недостаточной рабочей длины фиксирующей пластины или чрезмерного количества фиксирующих гвоздей (рис. 7), можно снизить риск поломки фиксирующей пластины ниже отверстий для винтов или в месте соединения винт/костная пластина.

Рисунок 7. Заживление кости было достигнуто через 60 дней за счет изменения количества и положения стопорных винтов и увеличения эластичности чрезмерно жестких структур.
Диагноз несращения костей обычно подтверждается поломкой пластины.
Поздняя поломка фиксирующей пластины или фиксирующего стержня является своевременной, поскольку могут возникнуть микродвижения, приводящие к заживлению кости.
При простых переломах, требующих компрессии, которая зависит от типа перелома, а не от пораженной кости,
жесткая конструкция, в которой два фрагмента не соприкасаются, может привести к незаживлению и усталостному разрушению пластины.
Сочетание жесткой шины + стопорного гвоздя + вытяжения в месте перелома приводит к несращению кости.
Разновидностью этого является одновременный разрыв стопорного гвоздя под его креплением к пластине.
что также связано с слишком жесткой конструкцией. Это приводит к тому, что один конец пластины выдвигается «целым» и заживление не достигается (рис. 8).

Рисунок 8. Вторичный отказ слишком жесткой и несбалансированной конструкции: слишком много стопорных винтов было использовано дистально, а проксимальная соединительная пластина была недостаточно длинной.
Поэтому фиксация внутрикапсулярных переломов бедра стопорными пластинами может привести к несращению кости, поскольку конструкция слишком жесткая, чтобы ущемить место перелома.
Без микродвижений, необходимых для заживления, вся нагрузка приходится на имплантат, и со временем он выходит из строя.
Струпья периостальной кости могут быть асимметричными.
особенно при переломах дистальной 1/3 бедренной кости. Микродвижения благодаря эластичности позволяют
равномерное развитие ткани заживления перелома, которое происходит только на соответствующих поверхностях конструкции фиксирующая пластина/гвоздь.
Чтобы контролировать этот риск, рабочую длину запирающей пластины следует увеличить либо за счет использования более гибких титановых пластин, либо за счет использования новых конструкций запирающих гвоздей.
И наоборот, чрезмерно гибкие конструкции могут привести к гипертрофическому несращению костей.
Размещение пластины как можно ближе к корковому веществу снижает риск пластической деформации в середине пластины;
когда расстояние между пластиной и корой превышает 5 мм,
прочность конструкции значительно снижается, а риск пластической деформации пластины и разрушения титановой пластины высок.
Риск позднего перелома в конце диафиза или метафиза запирающей пластины,
особенно в кости, пораженной остеопорозом, можно уменьшить, вставив один кортикальный стопорный стержень или стандартный бикортикальный винт на конце пластины, чтобы уменьшить напряжение в этой области.
Следующие условия повышают риск механического повреждения запирающей пластины:
1. Фиксация переломов диафиза плечевой кости требует использования четырех стопорных гвоздей с каждой стороны места перелома, чтобы противостоять скручиванию и увеличить механическое разрушение; а также
2. Фиксация переломов эпифизов затруднена, поскольку они часто нестабильны,
особенно потому, что место перелома невозможно сжать стопорными гвоздями, а кость подвержена остеопорозу;
3. Оскольчатые внутрисуставные и внесуставные оскольчатые переломы эпифизов нестабильны.
(например, переломы дистального отдела бедренной кости, переломы двумыщелкового плато большеберцовой кости, переломы дистального отдела лучевой кости);
4. Медиальное измельчение метафизарных переломов с тенденцией к смещению в инверсию (например, переломы проксимального отдела плечевой кости, проксимального отдела бедренной кости и проксимального отдела большеберцовой кости).
Фиксирующие пластины, прикрепленные к латеральной части кости, обеспечивают прочную конструкцию, которой часто бывает достаточно.
для стабилизации этих переломов без необходимости добавления пластин консольного типа медиально или добавления кости при сохранении биологической среды перелома.
Стабильность зависит только от соединения стопорной пластины и стопорного гвоздя.
который наиболее напряжен после перезагрузки, когда эпифиз остается инвертированным или когда медиальная консоль не реконструируется. Запирающая пластина может в этом случае выйти из строя из-за усталости.
Поэтому в зависимости от типа необходимо рассмотреть возможность фиксации переломов двумыщелкового плато большеберцовой кости с использованием блокирующих пластин только на латеральной стороне.
При переломах проксимального отдела плечевой кости количество блоков перелома, потеря медиальной поддержки,
и инверсия эпифиза для фиксации являются известными факторами риска. Чтобы свести к минимуму риск разрушения конструкции,
определенные стопорные стержни будут иметь механическую поддержку, чтобы компенсировать отсутствие медиальной поддержки при репозиции переломов, транслированных наружу.
Видами биологического отказа запирающих пластин являются вырезание винта, перелом или защемление запирающего гвоздя.
Эти риски выше, когда в скелете присутствует костный остеопороз.
Это означает, что ранняя реабилитация и возвращение к весовой нагрузке должны проводиться тщательно до того, как будет достигнуто заживление костей.
Винт-экстракция соответствует «тотальному» и одновременному удалению стопорного стержня из кости на одном или обоих концах пластины. В некоторых случаях
запирающий гвоздь извлекается вместе с куском кости вокруг него.
В эпифизарной области цельная конструкция запирающей пластины обычно обеспечивает достаточную стабильность за счет рассредоточенного или сходящегося крепления фиксирующего стержня.
а трехмерная структура повышает устойчивость к извлечению винта из губчатой кости.
В диафизарной области лучшую прочность на выдергивание имеют сходящиеся и рассредоточенные фиксирующие стержни и конструкции с более длинными фиксирующими пластинами.
Этот тип конструкции больше подходит при перипротезных переломах. В кости, пораженной остеопорозом,
Бикортикальная фиксация ножки винтом превосходит фиксацию монокортикальным винтом. При перипротезных переломах однокортикальные винты с плоской головкой помогают избежать контакта с интрамедуллярными имплантатами.
Эти нарушения фиксации связаны с плохим качеством кости, даже если структура механически неповреждена.
В губчатой эпифизарной области может произойти вырезание или ущемление блокирующих гвоздей с внутрисуставным проникновением.
Эти смещения представляют собой смещения эпифизарных фрагментов маломассивной кости вокруг фиксаторного стержня фиксации.
Это приводит к потере редукции эпифизарных переломов. В лучшем случае эпифизарный стопорный стержень задевает и
проникает в губчатую кость. В худшем случае эпифизарный стопорный стержень выходит из эпифиза и попадает в сустав.
Эти два осложнения чаще всего возникают при переломах проксимального отдела плечевой кости и дистального отдела лучевой кости.
Для фиксации блокирующей пластиной при переломах проксимального отдела плечевой кости рекомендуется, чтобы длина
эпифизарный стопорный стержень должен быть ограничен, чтобы свести к минимуму риск врастания и вторичного проникновения в сустав.
Эти нарушения фиксации обусловлены неадекватным качеством кости и большим начальным смещением фрагментов перелома перед репозицией.
даже если конструкция механически неповреждена.
Реабилитация и весовая нагрузка разрешаются только после достижения идеальной фиксации и проверки на послеоперационных рентгеновских снимках.
Биомеханические исследования показали, что в нормальной кости, если зазор между отломками менее 1 мм,
весовая нагрузка возможна без риска. после 1 миллиона циклов жесткость становится такой же, как у нормальной кости, что достаточно для заживления.
Если конструкция прочная, запирающие пластины и запирающие гвозди с фиксированным углом позволяют быстро вернуться в исходное положение.
несущую нагрузку, поскольку нагрузка передается непосредственно от фиксирующего гвоздя к фиксирующей пластине без риска нарушения фиксации в месте соединения гвоздя с пластиной.
Однако, когда ось многоосного стопорного штифта не перпендикулярна стопорной пластине, ранняя нагрузка на него не допускается.
При МИПО ранняя нагрузка на ногу допускается при внесуставных, простых и/или простых оскольчатых переломах.
Очень длинные специфические конструкции достаточно гибкие, с чередующимися бикортикальными фиксирующими гвоздями и отверстиями для восприятия и распределения нагрузки.
1. Биомеханические исследования позволили оценить различные типы конструкций и их механические свойства.
Литература помогает обосновать теоретические надежды, связанные с этим типом фиксации.
Однако в недавней литературе также освещаются технические трудности и неисправности, связанные с запирающими пластинами.
2. Основная причина неудач – неадекватное планирование хирургической техники,
что очень требовательно, особенно при выполнении малоинвазивных процедур.
3. Сначала необходимо вправить перелом, не закрепляя винты на пластине.
поскольку непрямой возврат пластины в исходное положение путем фиксации винтов невозможен.
4.Конструкция должна иметь правильную длину и прочность,
а это значит, что хирург должен быть знаком с принципами и правилами использования этих пластин.
Поэтому конструкция должна быть эластичной, с ограниченным количеством равномерно расположенных стопорных винтов, которые чередуются с пустыми отверстиями.
5. Несмотря на лучшую теоретическую начальную стабильность запирающих пластин,
фиксация конструкции ограничена сложностью перелома, качеством репозиции и биологическим качеством кости.
6.Если структура механически цела, качество кости хорошее, перелом внесуставной,
пациенту, обладающему достаточной самостоятельностью, может быть разрешено нести вес на сломанной конечности. Во многих случаях фиксация блокирующей пластиной позволяет провести раннюю реабилитацию.
Топ-7 критериев оценки при выборе поставщиков ортопедических товаров в 2026 году
Лучшие поставщики ортопедических товаров (2026 г.): рейтинг дистрибьюторов на первом месте
Как найти экономически эффективных поставщиков ортопедических товаров без ущерба для качества
12 лучших производителей ортопедической продукции для покупателей (2026 г.)
Технический документ по закупкам ортопедических OEM-ODM для дистрибьюторов в Латинской Америке
10 критериев лучшего OEM-поставщика ортопедических изделий для больниц (2026 г.)
Контакт