Просмотры:0 Автор:Pедактор сайта Время публикации: 2025-03-06 Происхождение:Работает
Переломы дистального радиуса составляют 75% переломов предплечья и особенно распространены в клинике. В этой статье мы составили список анатомии, классификации, стратегий лечения и хирургических подходов к переломам дистального радиуса для вашей ссылки.
Переломы дистального радиуса являются частью переломов запястья. Теория с тремя столбцами может лучше объяснить патологический механизм переломов запястья, в котором радиальная колонка, состоящая из радиальной бугристости и ямки для лавикулярной ямки, важна для поддержания стабильности запястья.

Все переломы дистального радиуса, за исключением авульсированных переломов дорсального края радиуса, фактически вызваны чрезмерным насилием. Рука позиционируется по -разному, когда действует внешние силы, а последствия внешних сил различны.
1. Насилие в иске может привести к дорсально смещенным внутри- или внебилярным переломам при низкоэнергетических травмах, таких как падение.
2. Стремление смешивания может привести к частичному смещению суставных поверхностей на ладони, что приводит к нестабильности.
3. В высокоэнергетических повреждениях, насилие сжатия преобладает преобладает чрезмерная осевая нагрузка к сжатию суставной поверхностной кости.
4. Основным механизмом вывиха перелома является авульсированная травма, когда пропульсная костная масса обычно является точкой прикрепления кости в связке.


Метафизарный перелом сгибания типа I

Суставной и сдвиг типа II

Сжатие сжатия типа III поверхности суставной поверхности

Авульсивный перелом Avulsion типа IV, вывих, вывих

Смешанные переломы типа V (переломы с высокой энергией авульсии)

Большинство переломов дистального радиуса обрабатываются торможением после закрытого сокращения, к сожалению, многие из этих переломов будут смещены, или сокращение не будет приемлемо с плохим результатом.
Пять дестабилизирующих факторов были идентифицированы LaFontaine et al:
① Начальная дорсальная угловая> 20 ° (пальмовый наклон);
② Завершенное перелом дорсального эпифиза;
③ Перелом в суставе;
④ Связанный локтевой перелом;
⑤ Возраст пациента> 60 лет.
Не существует определенных стандартов или руководящих принципов для руководства лечением, и планы лечения принимаются с учетом большого количества факторов, включая характеристики начальных травм, калибровку после перепозиции, возраст пациентов, качество кости, требования пациента и желаемые результаты.
Для закрытого уменьшения переломов с подозреваемой стабильностью рекомендуется близкое наблюдение. Важно отметить, что если серия рентгеновских лучей после восстановления предполагает нестабильность или смещение, то может потребоваться изменение лечения. Если перелом потенциально нестабилен, то рентгенограммы должны быть взяты и оценены до тех пор, пока перелом не заживет и стабилизируется.
Стабильные переломы могут быть успешно закрыты с закрытыми и обработанными торможением, сначала с шинированием, а затем с трубчатым листом, с еженедельными рентгенограммами до 3 недель.

Если происходят значительные изменения в радиальной длине, наклоне ладони или локтевом локте, следует учитывать хирургическое лечение.
У пациентов с хрупкими и низким спросом закрытое лечение часто подходит, даже когда указана операция.
Закрытое восстановление с последующим чрескожным закреплением и фиксацией полезно при переломах дистального радиуса с метафизарной нестабильностью или простыми внутрисуставными переломами.

Первым шагом является анатомическое перемещение, а затем стабилизация обеспечивается грамовыми булавками. Обычно первый штифт передается от радиального стилоида к радиальному метафизом, медиальному в диафиз.
Минимум 2 штифта используются для обеспечения адекватного стабильного перепозиции в ортогональных и боковых положениях, и при желании можно закрепить лунную аспекту.
Внутренняя закрепление (техника Капанджи) обеспечивает дорсальную поддержку. Послеоперационная иммобилизация в шине применяется в течение 2 недель для контроля вращения и минимизации раздражения штифта, после чего ее можно заменить на мягкий лист предплечья.
Внешние фиксационные скобки полезны для начальной или дополнительной обработки при определенных переломах дистального радиуса.

Внешний фиксатор нейтрализует осевые напряжения, действующие на дистальный радиус во время сокращения групп мышц предплечья. Фиксация может быть или не быть через запястье, или может быть добавлена дополнительная фиксация.
Параллельная тяга не полностью восстанавливает наклон пальма, но нейтральное положение приемлемо. После операции запястье закрепляется в трубчатом литье в вращающемся заднем положении в течение 10 дней, пока боль и отек не исчезнут.

Вдоль узла Листера производится прямой разрез, а дистальный конец пересекает линию радиального запястного соединения и заканчивая 1 см проксимально до основания второго запястья метакарпала. Проксимальный конец простирается вдоль радиального стебля в течение 3-4 см, обнажая средний столбец через основание третьего интервала разгибателя.



Продольный разрез производится вдоль сухожилия сгибателя радиального запястного цвета, причем сухожилие сгибателя Bunion, расположенное на глубокой поверхности сухожилия сгибателя радиального заплеска, которое втягивается локтевым, чтобы выявлять мышцу переднего ротатора и мышцы передней ротаторной экипировки выявлены в начале радиального и втягиваемого, чтобы экспрессировать растиловый конец.
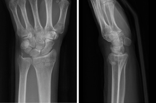
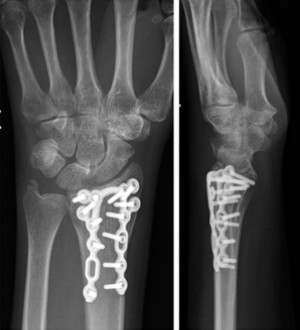
Случай ①


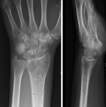
Случай ②


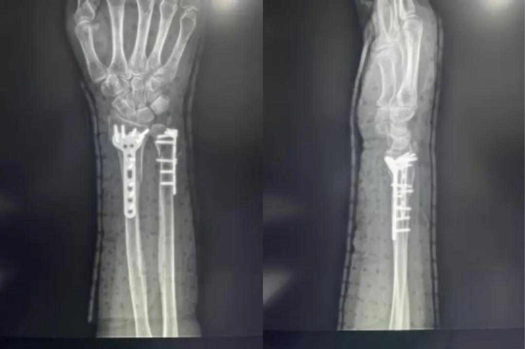
Случай ③


- 4-сантиметровый продольный разрез производится дорсальным с третьим стволом метакарпала, а сухожилие разгибателя среднего пальца сокращается, чтобы обнажить третий метакарпал;
- Второй 4-сантиметровый разрез производится не менее 4 см дорсального до запланированного радиуса;
- Третий дорсальный разрез 2-сантиметра производится в узле Листера, чтобы разоблачить сухожилие разгибателя Hallucis Longus.

Из дистального разреза тягак вводится проксимально вдоль плоскости между сухожилием разгибателя (четвертый дорсальный отсек), капсулой сустава и периостеумом. Сухожилие разгибателя можно перемещать при необходимости.


Топ-7 критериев оценки при выборе поставщиков ортопедических товаров в 2026 году
Лучшие поставщики ортопедических товаров (2026 г.): рейтинг дистрибьюторов на первом месте
Как найти экономически эффективных поставщиков ортопедических товаров без ущерба для качества
12 лучших производителей ортопедической продукции для покупателей (2026 г.)
Технический документ по закупкам ортопедических OEM-ODM для дистрибьюторов в Латинской Америке
10 критериев лучшего OEM-поставщика ортопедических изделий для больниц (2026 г.)
Контакт